院内の空気から、徹底した衛生管理を行っております。
フィルターを1度通過するだけで、0.0024ミクロン以上のウイルスや粒子の99.99%除去出来る空気清浄機を待合室にも診療室にも設置しております。
※インフルエンザ、コロナウイルス:0.098ミクロン
※コクサッキーウイルス、手足口病:0.027ミクロン
0.027ミクロンでもかなりの微粒子ですが、捕獲できる大きさの桁が違います。
0.027ミクロン>0.0024ミクロン 一度のフィルター通過で99.99%除去です。
花粉やPM2.5、ダニの死骸等、鼻炎、喘息原因のアレルゲン物質は当然100%除去です。
そしてその最高処理能力は、1分間で8メートルx8メートルという巨大な箱に匹敵する量の空気がフィルターを通過し、そこに含まれるウイルス等を捕獲除去しております。
窓や玄関を開けて換気しようとしても風がなければ空気も動かず、またかえって埃等で院内が汚れ、虫などが入る事もあります。
もちろん、その他滅菌等も徹底しております。
どこにお出かけするよりも不安少なく来院いただけると思います。
全ての基本は徹底した衛生管理から!
衛生管理には様々な機器を活用しております!
オートクレーブ
歯科器具を高温・高圧の状態で完全に滅菌(すべての細菌の死滅)する器械です。
ほとんどすべての歯科器具に使用し、常に清潔な状態にしています。
紫外線照射等
その他、滅菌、保管に紫外線を活用しております。
様々な機器を併用することにより、衛生管理を徹底しております。
そして患者様に負担をかけず、現状を詳しく知ること!
被曝量の少ない「デジタルレントゲン」を完備!
超高感度だから被曝量が軽減!子供さんにも優しいレントゲン!
デジタルレントゲンに使われているX線センサーは、デジタルならではの高感度!
照射時間が短縮され、より低線量でのレントゲン画像取得が可能となります。
お子様にも安心です!
また、各ユニットのデジタルモニターにも直接映像を映し出すことが出来るため、
従来行われていたレントゲン写真の現像など、手間もなくなりました。
また環境にも優しく、スピーディーな対応が可能となります。
少ない被爆で、安心安全!
当院のデジタルレントゲンは、
従来のフィルムを使用したレントゲン撮影に比べ、
人体に受ける放射線の量を、約1/4~1/10に抑える事が可能です。
照射時間がかなり短く、安心安全です。
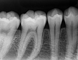
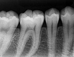
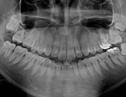
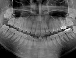
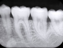
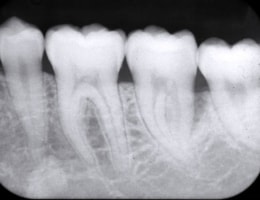
当院のこだわり
大きなパノラマレントゲンは歯並びなど、全体像をつかむことにも有効的ですが、
現状を詳細に把握するため、小さいレントゲンを10枚撮って診断・治療をしております。
これにより歯石、歯周ポケット等も詳細に把握でき、緻密な治療を提供することが出来ます。
これも「私が患者であったなら」の思いによる治療方針です。
コスモアイキュア
コスモペリオエンドシステムは電気的に高周波電流発生装置と超音波振動発生装置の2つの装置からなっており、さらに電気抵抗測定装置が付随しております。
まず、高周波電流発生装置部は電気メスの波形である全波整流型波形とその変型である半波方形型波形の高周波を出力する装置であり、この波形を利用し抜髄処置・感染根管治療における滅菌、歯周ポケット内の消毒、滅菌を行うことができます。
次に超音波振動発生装置は、超音波スケーラーと超音波拡大、ポケット洗浄機として利用することができます。
ペリオエンドシステムは抜髄から根管長測定・拡大洗浄・滅菌を効率よく行うことができ、
ペリオ処置など今までにない新しい治療法を提供いたします。

バリオサージ
当院では、インプラントのスペシャリストが絶賛するNSKの超音波ボーンサージェリーシステム「バリオサージ」を使用しております。
この機器は、まるで手の一部のような操作感を実現したライト付ハンドピースや、口腔外科用として特別に開発された高性能エンジンによる先進の機能、そして、丁寧に目立てを施し、切れ味と最低限の侵襲を追求した専用チップとの組み合わせにより、安全で効率的な施術を実現しています。
主な用途
口腔外科手術: 骨切削・骨整形・骨粉採取・サイナスリフト/ 粘膜剥離
ペリオ: スケーリング/メインテナンス

レーザー治療器
当院では、痛みや不快感の少ないレーザー治療器を使用しております。
主な効果は以下の通りです。
殺菌効果
瞬間的な高温が細菌なども一瞬で蒸発させるため、
虫歯や歯周病菌などの細菌が原因でおこる病気に効果が期待できます。
止血効果
レーザーが組織を瞬時に蒸発させるため、歯肉を切っても出血が起こりにくく、
止血と殺菌効果が同時に得られます。
さらに術後の痛みが出にくいなどの特徴があります。
麻酔効果
レーザーを照射すると、麻酔をしなくても治療できる範囲が増えることがあります。
但し、一般的な注射麻酔ほどの強い麻酔効果ではありません。
治癒促進、除痛効果
インプラントなどの処置後の治癒を早めます。
また、傷や口内炎などの痛みを和らげることが出来ます。

レーザー治療器による主な治療
1.初期虫歯の治療
2.歯周病の治療
3.親知らずの炎症をおさえる治療
4.口内炎
5.タバコ等による歯肉の変色を取りのぞく治療
6.外科手術等
7.歯がしみるとき
8.治りにくい根の治療
9.歯の質の強化
超音波スケーラー
超音波スケーラーは、主に歯肉縁上歯石のスケーリングを行なう際に使用します。
超音波スケーラーは、毎秒約25000~40000回の振動によって歯石を破壊し、除去します。
また、超音波スケーラーは歯石の除去以外にも、クラウンなどの補綴物の除去や根管洗浄にも使用されることがあります。

